纽约/整牙/矫正牙齿/牙齿矫正/专科医生
隐形牙套!
大龄少女纽约矫正牙齿7个月实记录
解决你们所有关于整牙的困惑
还在进行中,但效果可谓非常励志,有图有真相。
前记:
什么样的牙齿需要矫正?这个问题我可能在前20年从来没有想过。就连我在矫正期间,经常有人跟我说,效果真好呀,你牙齿基本上已经很整齐了。

其实不吹不黑,我的牙不矫正也很整齐,形状大小都很满意,问题出在哪儿呢?
我自己是从来咬不开包装袋的,就从小那个袋装牛奶,别说我装柔弱,老干妈瓶盖我分分钟给你拧开,可是一个简单的塑料包装袋,我却咬不开。
说我大口吃肉,一般是因为我豪爽,一般是因为我咬不断大块的东西,只能一口吞。
我妈总说我老张着嘴,很像二愣子(有这样说自己女儿的妈吗)
不止一次想拍“唯美范”的侧脸照,看了下照片,删了删了这呆子一定不是我。
和我一起出去玩的小伙伴趁着我睡觉偷拍我,给我取外号Lucy (考古史上的南方古猿人类祖先)

嘿!并没有那么夸张好吗。不过确实随着时间的推移,嘴凸的迹象越来越明显,睡觉流口水这种羞羞的事就不用多提了,发照片总有人说“你要是长点下巴就好了”。眼看着周围的小伙伴都整过牙了,我也就开始见人就问你哪里整的牙,网上也看过别人写的不少经验贴,还是拿不下决心,觉得自己好像整牙也不是一件十万火急的事。
终于有一天我忍不住了,今年春节回家,和爸爸一家人其乐融融坐在一起,看着眼前的叔叔、伯伯和奶奶,我们都一样下巴偏短,上牙微凸,并且越老越严重。突然我就下定决心了,我一定要整牙!!!十八匹马都拉不住!!!
于是,我用我爸一家活生生的例子说服了我妈(金主),告诉她你女儿的牙虽然说不上暴,但是凸啊!你女儿嘴闭不上不是她装酷啊,是她真的闭不上啊!还有咬合,咬合很重要啊!我咬合不对,吃东西都困难,一边脸大一边脸小,甚至眼睛都一边高一边低的。
开始找牙医
因为在美国读书,毕业了也打算用opt继续在这儿工作,所以我不打算在国内整牙,但是不是听说美国医疗贵上天吗?Winter break的时候还是趁着回国去对比了几家大大小小的公立私立医院,挂号费咨询费也交了小一千,让我猛拔5颗牙,费用也是参差不齐,四万到十万的都有,时间估摸着得两到三年。
关于选择哪种牙套这件事,我也是没有犹豫的,毕竟24,25的老阿姨了,也不想再带着钢丝牙套,身边的朋友带的都是隐适美,不是她们当着我的面摘牙套我都看不出来她们带了牙套。而且金属牙套痛苦啊,有朋友戴了四个月口腔溃疡到崩溃,最后选择拆掉重新做隐适美。所以我就只考虑了Invisalign,既美观又和钢丝一样有效,还能随时拆卸,和没带牙套一样样儿的。


确定了自己想要什么之后,我就开始找靠谱的牙医。自己在纽约才一年,人生地不熟的,唯一去医院的经历就是朋友滑雪摔断腿之后陪她去医院,我俩连比带猜的和医生几个来回,当时真希望有个靠谱的说中文的医生啊!
所以我找牙医的诉求是能够和我很好的沟通,能说中文最好了,毕竟要我用英语描述出我要的效果,就和拿着明星的照片去找理发师一样,效果总是不尽人意。我在纽约,要找一个说中文的牙医也不是一件大难事,我去了朋友推荐的China Town,也去了Flushing,诊所的环境我都不是特别满意。还有很多是一上来要咨询费,或者是咨询后如果想看方案必须先交定金,那我肯定不干啊,都还不知道方案满不满意,为什么就相当于把这件事情定下来了呢?
兜兜转转三个月过去了,看到一个小姐姐写的记录自己整牙的文章,她的牙医诊所在曼哈顿中城的洛克菲勒中心附近,听起来就很高级有没有。我就打了电话预约找了过去,见了黄医生第一面,也总算是定下来矫正牙齿这件事了。
为什么那么快决定在黄医生的New York Dental Studio矫正牙齿,是因为黄医生不仅仅非常专业,还是个非常有个人魅力的人。我其实挺害怕去医院的,一是因为消毒水的气味,二是因为冰冷的氛围。进到New York Dental Studio,明亮,干净,整个装潢是暖色系的,让人一下放松了下来。前台友好的领我进去,帮我挂好衣服这些细节,都让人第一印象很好。可以听见黄医生在里面和他的patient谈笑,没有一点让我觉得像在医院的焦虑感。黄医生从诊室里走出来,和我握了个手说:你好,我是黄医生!
我的矫正牙齿全过程
和黄医生沟通
之前也说过,我在国内和国外都看过好几个牙医,模型也做过了。Xray也拍过。大致过程我都了解了,和黄医生沟通了一下我的预期,希望能改善我的凸嘴,虽然不指望下巴能变长多少,但是还是希望能尽量拉长我的下巴,让我的整个脸侧面好看一些。
黄医生粗略的看了我的牙齿之后,说我存在两个问题,一个是开咬合(也就是后牙咬紧的时候上下牙之间还有差距),另一个是过咬合(后牙咬紧后上排牙比下排牙突出)。不夸张的说,那个前后差距我能放一根手指!
黄医生说我所有关于咬不开包装袋,嘴闭不上,睡觉呼吸方式,流口水,磨牙,右边咬肌突出,都是因为我的咬合完全不正确。过咬合和深咬合是很多亚洲人都有的问题,但是开咬合却不常见,要把我这“祖传”的嘴突治好,得靠改变我门牙和premolar的角度,然后整个上排往里推,牙齿的移动带着牙骨往里收,我的侧面会有很大的改善,我这种情况需要拔牙,但是智齿没有什么关系,一颗长出来了挺正,另外两颗深埋在牙床里离神经很近,取出来不但费很大功夫,还要冒脸瘫的风险,对我实际上没有任何影响。
这里解决了大家一个误区,整牙一定要拔牙?
No,看牙床的空间决定,有的时候靠牙齿角度的微调,和适当的分牙就能腾出足够的空间,让拥挤的牙齿排列整齐,或者是让更往前的牙齿往后移。普通一颗牙的大小是6-7毫米一颗,而一般拔牙是对称的拔,所以一旦拔牙也就是12-14毫米的空间,这个是一个非常巨大的空间,如果不是我这种情况(上下排差距很大)是不需要拔牙的,不然就要花很长时间去把后面的大牙往前推,然而后面的大牙移动是很慢的,所以时间会大大延长。
智齿对整牙有什么影响吗?
大家普遍认为拔智齿会瘦脸,黄医生说这个得看你原本的骨骼。智齿拔与不拔对矫正牙齿都没有很大的影响,很多人认为智齿长出来把前面的牙齿挤歪了,这是不合理的,智齿的根一般都较短,而智齿前有三颗槽牙,每颗都有三个牙根,深深的扎在你的牙床里,如果智齿把槽牙挤歪了,那得检查一下你的槽牙是否还稳固。
智齿没有咬合上的用途,清洁也比较困难,所以一般建议拔掉。但是没有影响到其他牙齿,整牙前整牙后拔没有特别大的影响,再者说,拔智齿挺疼的,大家慎重考虑。
年龄太大了,不能整牙了?
Invisalign刚开始设计的时候就是给骨骼发育成熟的成年人设计的,只要不是50-60岁牙骨开始萎缩,或者牙根太短,都是没有问题的哦!黄医生和我说他年纪最大的一个Invisalign patient是52岁~
整牙至少要2-3年?
看个人情况了呢,黄医生说他做过最久的case是两年,一般的情况7-8个月就能调整好,我也很吃惊,直到我自己看到了自己的效果。
扫描牙齿模型
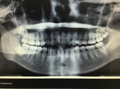
因为我已经拍过xray确认过我牙齿的健康情况了,所以就跳过了这一步,不过也可以附上之前在其他诊所拍的图,供大家欣赏。


大晚上看这种图可能不太好,但是也可以看出来我是明显的开咬合和过咬合。
已经做好了被塞满口橡皮泥一样的东西做模型了,黄医生拿出一个手持微型扫描仪一样的东西,说,“张开嘴现在我来取一下你牙齿的模型”。我心里咯噔,这是什么高科技,一边乖乖的看着黄医生的仪器在我嘴里一边移动一边咔咔咔的连续照相,我的牙齿就这样一点一点的出现在了旁边的屏幕上!感觉羞愧又神奇!不到五分钟,屏幕上就有了我完整的牙齿模型,包括咬合位置。下图是我的3d牙齿模型正面和侧面截图,阴影的那两颗牙是我决定拔掉的两颗牙。



偷拍的高科技扫描仪,黄医生说不仅更舒适精确度也大大大提升哦!扫描完之后就会有一个完整的牙齿模型,和非常非常粗略的预期矫正效果。黄医生会根据你的预期,在咬合正确的最大程度上实现美观,不仅是牙齿,还有脸型的要求,来设计一个精确的,完整的方案。
拿到牙齿矫正方案
效率超高,大概五天我就拿到了确定的方案,是一个3D动画,黄医生希望我能到office来当面看,他和我解释,这样会更容易理解,也没有任何收费,他说希望每个人都是拿到了自己满意的方案之后再做决定。这个小视频里我可以看到我一共有33副牙套,每一副牙套我的牙齿会有怎么样的变化,到最终的效果。33个牙套,每个10-14天,也就是说我的疗程最长是17个月,和之前在国内医生和我说的三年可差远了。
视频不好放我就放个前后对比吧,阴影部分是矫正前,白色部分是矫正完成(33副牙套)后的效果。我伙呆!请收下我的膝盖!

看完整个动图之后我虽然很开心,但是还是满心疑惑,我的牙齿真的会变成这样吗?是怎么做到的呢?
黄医生当时的解答我现在每一个字都记得,他说,如果最终达不到方案上的效果,那接下来每一个牙套我都带不上。
是蛮有道理的。那这神奇的牙套又是怎样施力的呢?
制作的方案其实还包括一些透明的小附件,固定在移动较大的牙齿上,一方面能够提供施力的角度,一方面保证牙套不会发生位移。
Invisalign的材料不断的在更新,并不是大家想象的简单的塑料和树脂,这就是这么多年来市场上不断有模仿者,却从未被超越的原因。
我似懂非懂,但是对我的方案非常满意,也觉得黄医生给的价格非常合理(4000美元包含了一切调整和保持器),于是就交了2000一半的定金,美滋滋的开始期待我的牙套赶快生产好,能够早一些带上。
安装牙套
不到两周的时间,他们通知我我的牙套拿到了,我中午趁着lunch break坐车到了诊所,满怀激动的心情,又有点小紧张。
黄医生先是给我洗了个牙,据说矫正牙齿前要洗牙,把牙齿间的牙垢清理干净,这样牙齿才能更好的移动。然后就开始了安装牙套的操作,操作室的灯明晃晃的,我就一直闭着眼睛。以为会有什么惊心动魄的事情要发生,结果黄医生和他的助手非常云淡风轻的完成了整个操作,不痛不痒,咔嚓我的第一个牙套按在了我的牙上。
“什么感觉?”黄医生问我
“有点紧,又说不上太紧,就感觉嘴里多了个不属于自己的东西“
“刚才好像削我的牙了?“
“牙缝间的一点点,大概0.2mm,对牙齿完全没有伤害,制造点空间让你的下牙能够移动“
“得嘞!“
这整个过程大概40分钟,却好像一个新的世纪的开始。
下图是我带上牙套后的样子,基本上是看不出来的,可以说是非常隐形了!

改变的过程
刚开始几天感觉自己不会说话了,因为带上牙套我嘴更闭不上了所以嘴唇很干,我疯狂的喝水擦唇膏喝水擦唇膏。
因为门牙动的幅度很大,所以我门牙上有颗附件,刚开始的时候不戴牙套门牙上的附件咯得我上嘴唇内壁破了,我就没事儿多带着牙套,大概过了一周我已经习惯这个牙套和附件了,一切变得很轻松。
没有戴过传统的钢丝牙套,但是Invisalign的隐形牙套我很有发言权。制作的非常精致,紧紧贴合每一颗牙齿,并不会超过牙齿的范围磨到牙龈或者舌头,每一个牙套移动的幅度是经过控制的,不会让牙齿走得太快从而松动,也能循序渐进看出效果。
痛的感觉我没有,要说不舒适,可能是移动的比较大的那几颗牙齿会酸软,硬的苹果没办法整个啃,但是切成块还是正常吃的。
再来就是矫正咬合的期间,会有觉得肌肉酸,因为咬合开始变化,包括肌肉也在慢慢的调整,但这些都是一些几乎可以忽略的感觉。
吃东西当然可以随时随地吃东西,Invisalign牙套可以随时摘卸,和传统钢丝一带就是两三年相比,可是方便得多。喝水也不需要摘,吃完东西漱口就可以继续戴上牙套,只要保证每天戴满16-20小时就没问题,今天的效果份额就妥妥的。
清洁必须重要,难以想象你戴着一个东西两周不洗吧,刷牙的时候用牙刷刷一刷,漱口的时候用清水涮一涮,就好多啦!超级容易的!
戴上牙套就更要注意自己的口腔卫生啦,勤用牙线,或是水牙线,因为有些食物残渣刷牙没刷掉,带着牙套闷着那当然容易滋生细菌,导致蛀牙。所以大家一定要注意好好刷牙!好好用牙线!
复诊大概每4-6周我会去例行让黄医生检查检查我的牙齿,看走动的是不是和预期效果相同,只要不是我偷懒每天不好好带,不要着急忙慌的换下一个,都没有什么太大的问题,牙齿走得乖乖的。每10-14天换一个牙套,摘牙套的时候我会比较注意方法,从牙齿的背面单侧扣下来,避开有attachment的地方,这样既不会扯掉attachment,又不会让我牙齿疼,是不是很机智~
我大概是在第10,11个的时候感觉到了明显变化,每个人情况不同,可以自己玩弄玩弄自己的小方案,我就自己录了个小视频,没事儿就掏出来看一看比对比对,发现真的是很神奇,说我的牙齿第几幅是什么样子,就一定是什么样子,只能感叹高科技啊,真是个好东西!
有图有真相
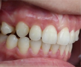
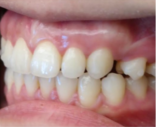
3.15是我安装牙套的第一天,到10.16号已经整整七个月了,不管是牙齿上的改变,和脸部的改变都还蛮大的,许久不见我的朋友都会觉得我变了个人,也很多人说我脸瘦了,其实人家不是胖啦,只是肉很多!不多说,上图



2017.03.15



2017.08.02



2017.10.17
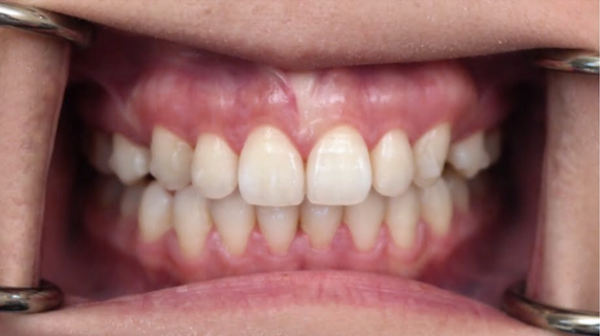
其实还有20个牙套,但是我的凸牙已经基本上都回去了,改变巨大。下面放羞羞的真人图。

2017.03.15

2017.08.02

2017.10.17
比较明显的是我的人中明显变长,嘴突有了很大改善,下巴也因此显得更长,我发现最惊喜的改变是,我的肉肉脸!!!没有了!!!
有人说我瘦了,其实我3月份的时候97斤,现在105斤,所以并不是我的体重,而是我整个脸的变化,我也是有下巴的人了!


矫正牙齿到现在,真的是所见即所得,和付出的相比,得到的实在是太惊喜了。还有很长的路要走,还有20个牙套要戴,但是我觉得忍不住想把这种喜悦分享给大家,相信高科技!相信黄医生!
很多来过纽约牙科诊所,甚至在纽约牙科诊所整牙的小伙伴们一定都觉得我眼熟!没错!整牙整了两个月,包括写过记录帖,影响了很多在纽约的朋友和网友们,黄医生邀请我加入他们诊所,成为了你们的前台小姐姐!说起来,我还是他第一个真正意义上的中国留学生patient呢!不过这不影响我这篇记录帖的真实性,因为我确实是因为矫正牙齿找到了黄医生,我所体验的,在我身上发生的变化,都是实实在在有图有真相的。和黄医生我也学到了很多,基本上是个纸上谈兵的“牙科专家“了,把他推荐给大家。
一口整齐健康的牙齿真的对生活影响巨大,纽约有这么童叟无欺的牙科诊所,我一定要强烈为他们打call!超级感谢黄医生,感谢纽约牙科诊所!
扫二维码加客服小姐姐微信,在线实时解答和预约一站搞定~
