
纽约/曼哈顿隐形矫正牙医诊所 /Invisalign/隐形牙套
电话:(212)588-1809
地址:30 East 60th St. Suite 2402 New York, NY 10002
网址:https://www.nydentalstudio.com/chines
上篇写的是突嘴没下巴小姐姐的逆袭之路,这篇咱们就来说说,Invisalign隐适美(隐形牙套)都可以矫正哪些类型的咬合和牙齿不齐吧,欢迎对号入座!
很多人都觉得,肯定得钢丝这种听起来非常虐的治疗手段,才能够让自己的牙齿乖乖归位。仿佛要取得真经,必须得经过九九八十一难。没被几个妖精刁难过,都觉得自己不是唐僧。
我曾经也这么觉得,我甚至觉得我需要正颌手术,才能把我这发育不良的下巴拉出来一些。国内牙科医院也去咨询过好几个,诊断一下,拔五颗牙,两到三年时间没跑。
上网搜过好多攻略,矫正牙齿的,正颌的案例也看了好几个。成功的是好让人羡慕啊,但正颌是要开颌的,切掉一部分骨头再接回去,两个月不能正常吃饭,躺在病床上的那种感觉真的估计没有几个人受得了。而且没成功的案例也有的是,那些心酸多少人写出来给大家看了?
想了想这种大风险我肯定不冒,连开个双眼皮我都怕留疤一直没下手。我开始考虑保守的整牙,毕竟对我来说,美是一方面,咬合健康是另一方面,实在是受不了自己用嘴呼吸的习惯导致自己的嘴越来越凸,这个毛病怎么我也想改。
我觉得毕竟我是一个取经路上走了一大半的人,在Dental Office也和黄医生学习一起见证了很多案例,从我的角度上来给大家一些整牙本人方面,和诊所专业方面的一些介绍和建议,这样会合理且有说服力得多。
在纽约牙科诊所的这半年,我悟出了一个道理,当你内心没有说服自己能够被矫正好,不管我们给出再好的方案,解释再多的道理都没用。
当你选择相信并且迈出决定的一步,那所见即所得,我们可以一起来体验这个奇妙的旅程,一起期待你的改变。
很多人说Invisalign只能矫正不严重个例,我也同意这句话,但是大家对于“严重”的定义可能完全不一样。Invisalign 隐适美已被用于治疗多种牙科病例,从轻度覆合到重度牙列拥挤都能接受隐适美治疗。
口说无凭,95%的牙齿Invisalign都有信心矫正好,下面我来介绍几个比较常见可以通过Invisalign矫正的类型。

其实大多数牙齿的情况都是几种类型的结合,而不是某种问题单一的表现,可以给大家看几个不太美观又非常直观的例子,来,上牙!
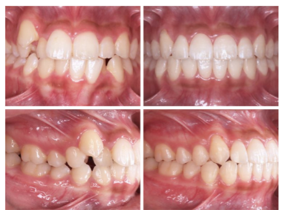
这个牙挺乱的吧,虎牙突出,拥挤,深覆合,过咬合,这个是很多小伙伴都有的问题。看看看,这个case你们觉得够复杂吗?Invisalign做到了,45个牙套,64周,16个月完成啦!
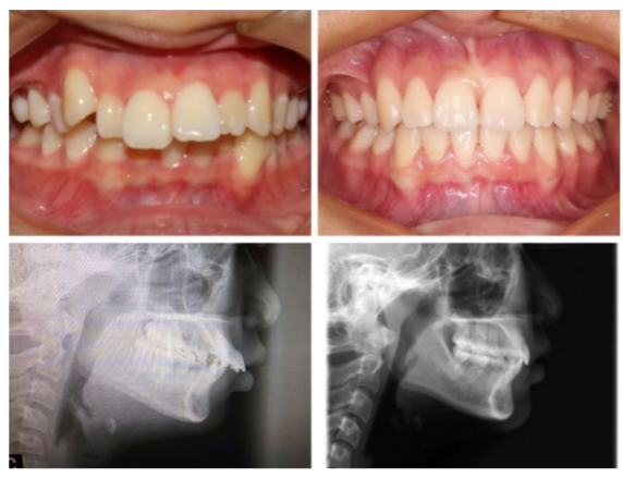
全头xray我们可以看到牙齿矫正前后侧面脸型和嘴型产生的变化。当然,由于她的过咬合非常严重(上下排差距太大),拔去了上牙的左右两颗第一前臼齿,能够把整个上排往后退并调整下排牙齿角度,使牙齿能够达到标准咬合。
这个是我们常说的龅牙(天包地),除了上排牙突出之外其他牙齿也很整齐没毛病。这个妹妹也是拔掉了左右两颗第一前臼齿,把整排上牙往后推,总共是35个牙套,时长10个月。

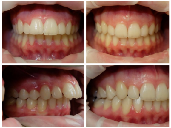
这个弟弟虎牙非常的调皮,下牙也歪。这个case没有拔牙,因为上下差不大,总共是59个牙套,时长18个月。
