田原 牙科博士(718) 799-0779 136-30 Maple Ave., Suite 1H, Flushing, NY 11355
Posted on 2018-09-02 / 14424 正品註冊

法拉盛牙科/法拉盛牙醫/牙科博士/植牙/假牙/種牙/補牙/牙齒矯正/牙齒美白/牙齒美容/牙齒整形/人工植牙/鑲牙

田原 牙科博士 Yuan Tian D.M.D.
地址: 136-30 Maple Ave., Suite 1H, Flushing, NY 11355
電話:(718) 799-0779

田原 牙科博士 Yuan Tian D.M.D.

地址: 136-30 Maple Ave., Suite 1H, Flushing, NY 11355
電話:(718) 799-0779, Fax: (718) 799-0779
時間:週三至四 09:00–17:00 週六 10:00–17:00


null

Yuan Tian D.M.D. 田原 牙科博士

纽约州立石溪大学牙医博士,
有十多年临床植牙手术经验,
隐形矫正专业训练和经验。

本診所備有最新科技三度空間電腦斷層X光機器診斷,植牙手術最準確安全,無痛,迅速。


本诊所提供专业Invisalign治疗服务

擁有全面的牙科服務,包括美容牙科、恢復性牙科、預防牙科以及一般牙科,服務項目包括但不限於:兒童牙齒保健、洗牙、深度洗牙、牙齒矯正、美容填料、義齒、Invisalign牙套、美白、牙橋、牙冠、緊急牙科護理、拔牙、種植牙、根管治療等等。

很多華人往往是牙齒有嚴重問題才看醫生,其實很多牙周、牙齦、牙齒的疾病,早期都不疼。等到疼的時候再來,最基本的方法已經治不了了,就要用複雜而花錢多的方法。

田原牙醫診所提醒民眾,一定要養成定期去看牙醫的習慣,進行日常檢查、洗牙、X射線檢查。良好的日常保養既省時又省錢。同時建議至少六個月要洗一次牙;注重醫生給出的專業意見;每日用牙線清理牙齒,避免使用牙籤因為容易導致牙齦出血。牙籤用力壓入牙間乳頭區,會使本來緊密的牙齒間隙增大造成牙周問題,進而造成牙齦炎、牙齦萎縮等病症。

null

1965年,一位瑞典人成為世界上首位植牙者,植牙一直陪伴他度過一生,安然度過了40多年。植牙,因具有固定好、不損傷周圍牙齒、美觀、舒適、具備和真牙一樣使用等優點,贏得人類“第三副牙齒”的美譽。過去因為價格昂貴和觀念的原因,很多人對植牙望而卻步。而田原牙醫診所從關注民眾健康出發,努力讓更多民眾享受植牙所帶來的便利和舒適。

牙齒的缺失沒有得到足夠的重視和處理。導致剩餘牙齒傾斜、移位或向對側伸長等不良後果,使咬合關係紊亂;而長期一側咀嚼,可能導致影響到容貌,失去迷人微笑。缺牙如果戴假牙,時間長了也會損傷兩側健康牙齒,美國牙醫協會(American Dental Association)的調查報告指出,對於人的健康而言,一顆牙的價值相當於30萬美元。從長遠來說,植牙不會損傷健康牙齒,同時大幅度提高了生活品質,所以千萬不要因小失大。

田原牙醫診所建議,在牙齒拔掉後,如果條件允許,最好在6-12個月之內,做植牙手術,會有良好的效果。耽擱時間太長會導致牙槽骨和牙齦萎縮,會導致沒有足夠的寬度,會給以後植牙帶來難度,也會影響治療的質量。

null

拍照三度空间电脑摄影机全貌

null

本诊所备有最新科技三度空间电脑断层X光机器诊断,植牙手术最准确安全,无痛,迅速。


欢迎电话咨询 718-799-0779

植牙前后效果

null
null
null
null

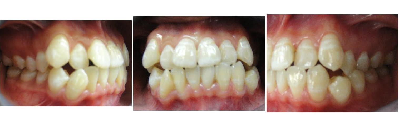
隱形矯正前后效果

null
null
Features
happy1
Reviews
5
Total Score 15 REVIEWS
服务: 价格: 环境:
  • 2021-05-09 at 5:52 下午

    我在这里要感谢张医生,张医生的医德和技术都是最好的,助手也很和气,他们能解答我所有问题,张医生不仅让我保留住我的右下排仅剩的一颗大牙,而且还使我省下做全付活动牙的费用和时间,在我的原来的假牙位置加上一颗我缺失的牙(附上照片)。张医生急病人所急,我星期一去的,星期五就让我戴上新的修复的牙了,现在一月有余,我的牙齿没有再痛,而且新的牙也很好用。这里补充说一下,之前我在其他牙科看了有的建议我植牙,有的建议我把仅剩的一颗拔除(因为疼痛)又很纠集。我是抱着试试看心情来到张医生诊所,结果让我很满意,我也很感激,张医生还为我清洁我的上半付活动牙。真心感谢!

  • 2019-04-25 at 5:30 下午

    Chang D.D 轻松和友好,林女士是最好的服务。 Chang D.D easy talk and friendly , Ms Lin is the best service in Flushing clinic。 Tom introduce me to go , I am honored to know doctor Chang D.D .

  • 2019-04-10 at 9:50 下午

    環境不錯,醫生負責人,說實話,專業,很好溝通,性價比高!!!

  • 2019-02-27 at 3:07 上午

    張凱揮 牙科博士,经验丰富,设备先进備有最新科技三度空間電腦斷層X光機器診斷,植牙手術最準確安全,無痛,迅速。赞!

  • 2019-02-21 at 8:45 上午

    張凱揮医生技术非常专业,我在这里治牙非常满意。

  • 2019-02-12 at 3:26 上午

    牙科服務非常全面,医生态度非常的好,非常有耐心,值得推荐!

  • 2019-02-07 at 9:27 上午

    我从小就怕看牙医, 怕打针,犹豫了很久才决定治疗。 张医生做植牙手术非常温柔,耐心, 我没有一点痛手术就做完了。手术后第二天, 还亲自打电话给我,询问我的愈合情况。在选择植牙牙冠的时候, 非常耐心的给我讲解各种牙冠的区别和如何选择。 非常感谢张医生。

  • 2019-02-07 at 5:14 上午

    張凱揮牙医診所的就诊环境让我感觉非常舒适丶卫生,设备也很先进。張凱揮牙医也很和善丶细心,手法很轻。我的牙齿问题都解决了,没有痛苦,我很高兴。

  • 2019-01-24 at 10:28 上午

    我的孩子都在张医生这里整的牙,非常满意!

  • 2019-01-24 at 3:01 上午

    张医生经验丰富,人超好又耐心,还非常幽默,是我看过这么多牙医里最棒的,他们会替我考虑最经济实惠的方式,不会让你花冤枉钱,收费也很接地气,没去过的同志们我强烈推荐这家给大家,不会失望!

Leave a review
服务: 价格: 环境:

发表评论